Doppler fetoplacentario

LATIVA

En que consiste...

👶🌿 Doppler fetoplacentario

(Información para pacientes)

El Doppler fetoplacentario es una ecografía especial que evalúa cómo está circulando la sangre entre el bebé y la placenta, y dentro del bebé.


📅 ¿Cuándo se realiza?

🔹 Generalmente a partir de las 24–28 semanas.
🔹 Es más frecuente en el tercer trimestre.
🔹 Se indica cuando se necesita vigilar el bienestar del bebé.


🔎 ¿Qué es?

Es una ecografía que utiliza tecnología Doppler para medir el flujo sanguíneo en los vasos del bebé y la placenta.

Es un estudio seguro, no invasivo y no produce dolor.


📊 ¿Qué evalúa?

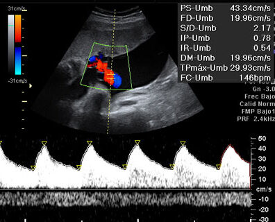
1️⃣ Circulación en el cordón umbilical

Evalúa si la placenta está funcionando adecuadamente.


2️⃣ Circulación cerebral del bebé

Se estudia la arteria cerebral media para ver si el bebé está redistribuyendo sangre (lo que puede indicar estrés).


3️⃣ Otros vasos fetales (en casos especiales)

  • Ductus venoso

  • Aorta fetal


📌 ¿Cuándo está indicado?

Se solicita principalmente cuando hay:

  • Sospecha de restricción del crecimiento fetal

  • Hipertensión en el embarazo

  • Preeclampsia

  • Disminución de movimientos fetales

  • Embarazos de alto riesgo


🌸 Diferencias con el Doppler de arterias uterinas

Doppler de arterias uterinasDoppler fetoplacentario
Evalúa la circulación de la mamá hacia la placentaEvalúa la circulación de la placenta hacia el bebé y dentro del bebé
Se realiza principalmente en primer y segundo trimestreSe realiza sobre todo en segundo y tercer trimestre
Es una prueba de riesgo (tamizaje)Es una prueba de seguimiento y control del bienestar fetal
Predice riesgo de preeclampsia o restricción de crecimientoEvalúa si el bebé ya está comprometido o necesita vigilancia más estrecha