La ecocardiografía fetal es una ecografía especializada enfocada exclusivamente en el corazón del feto, con mayor detalle que la ecografía obstétrica convencional.
📅 ¿Cuándo se realiza?
🔹 Idealmente entre 18 y 24 semanas de gestación (mejor ventana: 20–22 semanas). 🔹 Puede realizarse antes (desde 14–16 semanas) en casos de alto riesgo. 🔹 También puede repetirse en el tercer trimestre si se requiere seguimiento.
🔎 ¿Qué es?
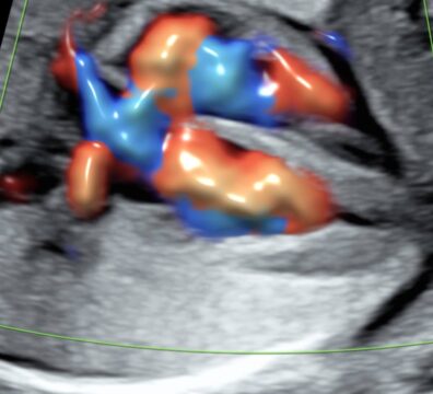
Es un estudio ultrasonográfico avanzado que evalúa:
Anatomía cardíaca
Función ventricular
Ritmo cardíaco
Flujos sanguíneos mediante Doppler
Lo realiza un especialista en medicina materno-fetal o cardiología pediátrica.
📊 ¿Qué evalúa?
1️⃣ Anatomía estructural
Detecta cardiopatías congénitas como:
Comunicación interventricular (CIV)
Comunicación interauricular (CIA)
Tetralogía de Fallot
Transposición de grandes vasos
Hipoplasia del ventrículo izquierdo
Muchas de estas pueden asociarse a síndromes como el Síndrome de Down.
2️⃣ Función cardíaca
Contractilidad ventricular
Tamaño de cavidades
Insuficiencias valvulares
3️⃣ Ritmo cardíaco
Bradicardia
Taquicardia
Bloqueos AV
Arritmias fetales
4️⃣ Flujo sanguíneo (Doppler)
Flujo a través de válvulas
Arcos aórtico y ductal
Evaluación de cortocircuitos anormales
📌 ¿Cuándo está indicada?
Se solicita especialmente si hay:
Translucencia nucal aumentada
Antecedente familiar de cardiopatía congénita
Diabetes materna
Lupus materno
Infecciones en embarazo
Sospecha de anomalía en ecografía obstétrica
Alteraciones en pruebas genéticas
⚠️ Importante
Es un estudio diagnóstico, no de tamizaje. Permite planear el parto en un centro con cardiología neonatal si se detecta una cardiopatía significativa.